At Arete Orthodontics, we use state-of-the-art 3D intraoral scanning technology to create custom retainers that protect the smile you’ve worked hard to achieve throughout your orthodontic journey.
Orthodontic retainers are appliances used to maintain your teeth in their corrected positions after active orthodontic treatment. If your teeth are not retained, they can shift due to:
The degree of movement varies from person to person, but everyone will experience some shifting in the long term if there is no retention. Long-term retention is therefore recommended to protect your treatment outcome and minimize changes. Not wearing or properly caring for your retainers will inevitably lead to your teeth moving over time.
There are two main categories of retainers: removable and fixed.

The most commonly used design today is the clear retainer: a custom-made, clear plastic tray worn over your teeth. These trays maintain the positions of all the teeth as well as the bite.
They are typically worn nightly for as long as you want to prevent your teeth from shifting.

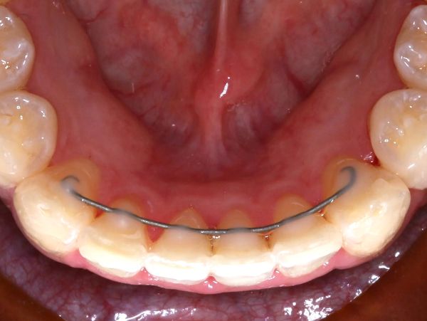
Fixed retainers are wires glued behind your front teeth, where they’re not visible, to help keep them straight. They only hold the front teeth in place and can be damaged without you knowing. For this reason, they’re often used together with removable retainers.
These are typically kept indefinitely and should be monitored by our team or your general dentist to ensure the wire remains intact. Regular brushing and flossing (using interdental brushes or special floss) at home, paired with professional cleans at your dentist, are essential for keeping the area around your wires clean.
At Arete Orthodontics, we will tailor your retention protocol to your specific needs. Whether you’d like to learn more about retainers or need a replacement for an old one, we’re here to help.
Arete Orthodontics | Specialist Orthodontist
Burwood Professional Centre | Suite 2, 12 Railway Parade, Burwood, New South Wales, 2134, Australia
Call us anytime: (02) 9747 8400