Invisalign is one of the most well-known clear aligner systems. At Arete Orthodontics, we offer Invisalign for our clear aligner treatments, as it is the most researched system to date. Treatment involves wearing a series of custom-designed, clear, removable plastic trays—changed every 1–2 weeks—to progressively move your teeth. You will also have small, tooth-coloured attachments on certain teeth. These attachments give the aligners a surface to grip, helping them move specific teeth in precise ways. Most people begin noticing improvements in the first few months, though total treatment time varies based on the complexity of the case and the desired outcome.

Clear aligners can be a great choice if you want something less visible than traditional braces.

You can take them out for meals, brushing, and special occasions, which helps keep your daily routine relatively normal.
Clear aligners are very effective for many mild to moderate cases. However, they can struggle with certain types of movements. A realistic understanding of where aligners excel—and where they’re less predictable—is crucial. Being upfront about what aligners can and can’t do helps avoid disappointments and sets you on the right path to success.
Treatment starts with a detailed digital scan of your teeth from which a carefully mapped pathway toward your desired result is custom designed. Our specialist orthodontist, Dr. Philip Nguyen, applies an in-depth understanding of tooth movement and clear aligner mechanics to ensure this plan suits your unique needs. He will also closely monitor your progress to ensure your aligners are achieving their planned goals.
Clear aligners need to be worn for at least 20–22 hours a day to work effectively, and it’s essential that each tray is fully seated on your teeth. While the flexibility of removing them can be convenient, it also requires self-discipline. If aligners aren’t worn correctly and consistently, you risk prolonging treatment or experiencing unwanted movements.
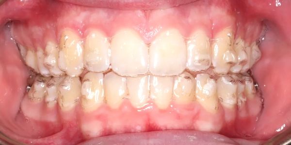
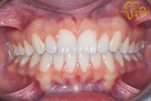
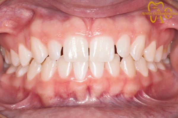
Below is a treatment example. Outcomes shown are only relevant for this individual patient and do not necessarily reflect the results other patients may experience. Patient consent has been obtained for the use of these photographs.


Arete Orthodontics | Specialist Orthodontist
Burwood Professional Centre | Suite 2, 12 Railway Parade, Burwood, New South Wales, 2134, Australia
Call us anytime: (02) 9747 8400