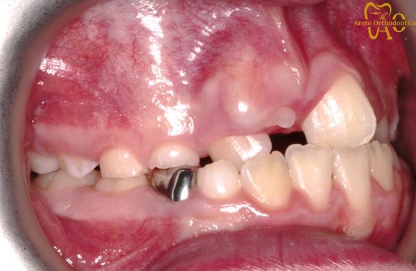
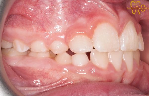
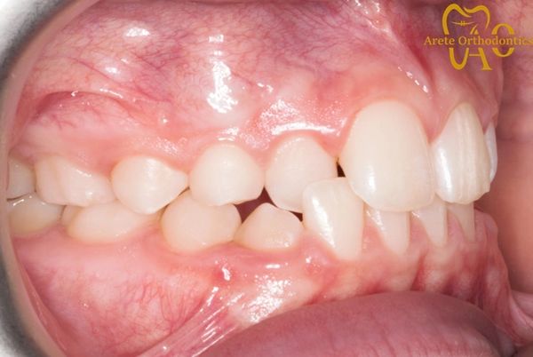
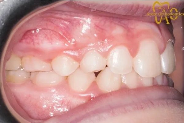
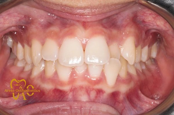
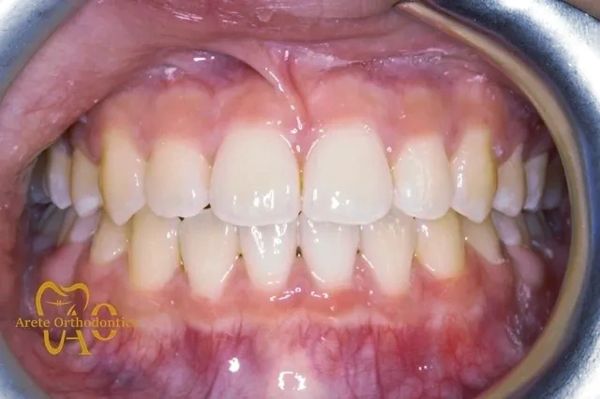
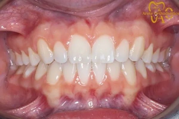
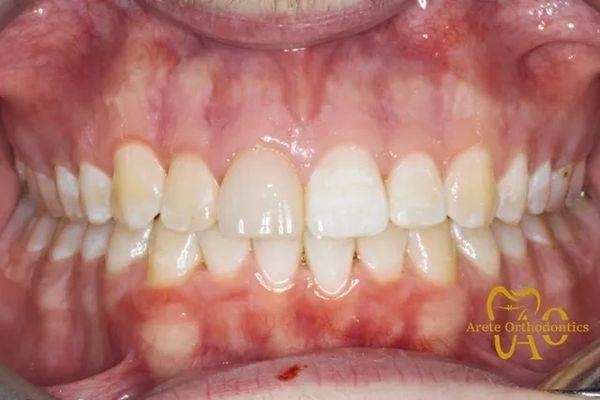
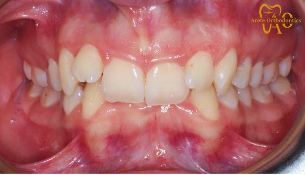
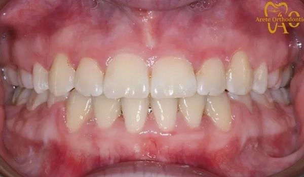
Below are some treatment examples. Outcomes shown are only relevant for individual patients and do not necessarily reflect the results other patients may experience. Patient consent has been obtained for the use of these photographs (before treatment and after finishing treatment).












Arete Orthodontics | Specialist Orthodontist
Burwood Professional Centre | Suite 2, 12 Railway Parade, Burwood, New South Wales, 2134, Australia
Call us anytime: (02) 9747 8400